
澳大利亚医生称,他们首次从一名妇女的大脑中“活着地蠕动着”,这是一项令人反胃的医学研究。这种寄生蛔虫通常在蛇身上发现。
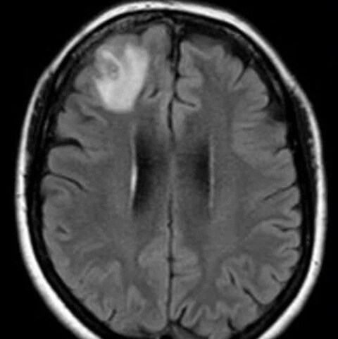
困惑的医生对这名64岁的澳大利亚妇女进行了核磁共振扫描,发现她的大脑前部有一个“非典型病变”。
这是一种8厘米(3英寸)长的蛔虫,被称为robertsi Ophidascaris。研究人员说,这种寄生虫在袋鼠和地毯蟒身上很常见,但在人类身上并不常见。
传染病专家Sanjaya Senanayake说:“这是世界上第一个被描述的人类感染蛔虫的病例。”
“据我们所知,这也是第一个涉及任何哺乳动物物种大脑的病例,无论是人类还是其他动物。”

研究人员认为,这名妇女是在她家附近的可食用灌木中觅食后感染的,这些灌木可能被蛇粪便中的寄生幼虫污染了。
这种寄生虫在脑部扫描中表现为“线状结构”,随后通过DNA测试进行了鉴定。
Senanayake博士说:“成为世界上第一个患者从来都不容易,也不可取。”
“我无法表达对这位女士的钦佩之情,她在整个过程中表现出了耐心和勇气。”

Senanayake博士说,已知蛔虫会感染世界其他地区的动物,“未来几年可能会发现其他病例”。
研究结果发表在《新发传染病》杂志上。



