
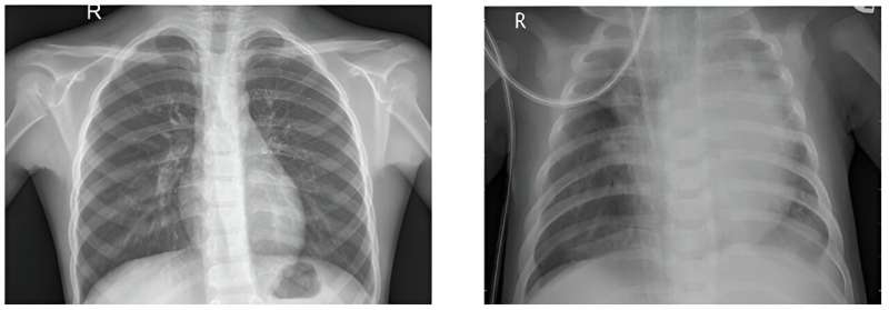
肺炎是一种导致呼吸困难的肺部感染,最常见的诊断方法是通过胸部x光检查。通常,这些胸部x光片是由放射科医生阅读的,但劳动力短缺意味着,在未来,可能更难及时得到诊断。
此外,肺炎的早期准确诊断也很重要,因为根据世界卫生组织(World Health Organization)的数据,肺炎占5岁以下儿童死亡人数的15%左右。
福特杰出研究主席、卡内基梅隆大学泰珀商学院运营管理教授斯里达尔?泰乌尔表示,这就是机器学习的用武之地。
他说:“机器学习用于预测,在医疗保健领域,我们希望预测某人是否患有疾病。”“如果你给出足够多的肺炎和非肺炎的图像例子,因为有两种情况,这被称为二元分类。”
Tayur和一组研究人员使用量子计算研究了一种称为支持向量机的分类技术,然后在发表在《计算机科学前沿》上的一篇论文中将其与其他方法进行了比较。
他说:“我们证明了这是非常有竞争力的。”“它犯的错误更少,花费的时间也更少。”
Tayur在CMU成立了量子技术小组,以更好地理解量子计算方法并将其应用于医疗保健等行业。
他说:“人们总是在寻找更有效的解决问题的方法,以及解决问题的新方法和新技术。”
在20世纪中期,领导第一次量子革命的科学家们以晶体管、激光和原子钟等创新改变了世界。虽然使用量子比特进行计算的硬件仍在开发中,但模拟器能够通过专门定制的算法解决现实尺寸的问题,这就是为什么这种方法被称为量子启发计算。
“假设更大尺寸和更低误差的量子比特设备将被开发出来,我们现在就可以在普通计算机上模拟它们,”Tayur说。
然而,当涉及到人工智能在医疗保健中的应用时,这些技术仍然处于考虑的前沿。
Tayur在与约翰霍普金斯大学凯里商学院(Johns Hopkins Carey Business School)的戴廷龙(Tinglong Dai)合作的研究中指出,为了实现这一目标,医疗行业面临四大挑战:医生的认可、患者的接受、医疗机构的投资和付款人的支持。
为了实现这些目标,任何应用于医疗保健系统的人工智能都应该考虑医生如何将其整合到他们的实践中,然后回顾患者如何看待人工智能在医疗保健服务中的作用。
“我们在2022年写了那篇论文,但情况并没有那么大的变化。这不仅仅是为了制造一个更好的捕鼠器,而是为了让人们使用这个捕鼠器,”他引用了一个长期存在的商业理念,即成功来自于设计最好的产品。
首先,作为一个例子,Tayur解释说,FDA已经批准了500多种医疗人工智能设备,但这些技术的广泛采用才刚刚开始,部分原因是医疗保健行业的现状和财政激励的存在。
“有一个好产品是必要的,但这还不够,”他说。“你仍然需要弄清楚人们将如何使用它,谁将为它买单。”
其次,医疗保健的一个主要考虑因素是责任。当涉及到设备时,公司可能会鼓励医生采用它们,但如果设备给出错误的诊断或医生对设备的数据给出错误的解释,该怎么办?
他说:“在论文中,我们基本上讨论了这样一个事实,即你必须弄清楚商业案例,包括风险和回报,以及采用这项技术的培训和前期投资。”
Tayur说,在将人工智能和量子计算的元素应用于医疗保健方面,虽然至少已经取得了一些进展,但还有很长的路要走。
他说:“很多时候,医疗保健领域的许多人工智能都是由科学家和研究医生开发的。”“他们需要的是一个不那么迷恋捕鼠器,而对病人的旅程和商业可行性更敏感的商人。”
更多信息:Sai Sakunthala Guddanti等人,基于二元分类的肺炎检测:支持向量机(SVM)的经典、量子和混合方法,计算机科学前沿(2024)。DOI: 10.3389/fcomp.2023.1286657由卡内基梅隆大学提供引文:机器学习,量子计算可能会改变医疗保健,包括诊断肺炎(2024,3月19日)2024年3月19日检索自https://techxplore.com/news/2024-03-machine-quantum-health-pneumonia.html此文档受版权保护。除为私人学习或研究目的而进行的任何公平交易外,未经书面许可,不得转载任何部分。内容仅供参考之用。



